Unikátní slider pro zajištění reliéfního kontrastu
S našimi kondenzorovými slidery do mikroskopu lze získat nové možnosti detailního a kontrastní pozorování vzorků pomocí techniky reliéfního kontrastu. Reliéfní kontrast je velmi účinný způsob zvýšení kontrastu ve světelné mikroskopii při pozorování ve světlém poli, použitelný pro širokou škálu průhledných a poloprůhledných mikroskopických objektů. Reliéfní kontrast pomůže nejen zvýšit kontrast při pozorování vzorků, ale pomůže také dosáhnout plasticity zkoumaného objektu. Při pozorování vzorku je získáno mnoho nových detailů nejen na jeho povrchu. Výsledné vysoce kontrastní 3D snímky pozorovaného vzorku pomohou pozorovat nejjemnější detaily u obtížně pozorovatelných objektů, jako jsou tkáňové preparáty, bakterie, jednotlivé neadherentní buňky, prvoci, spermie, vlákna, diatomy, vodní organismy a další.
Obr. 1. – Příklad kontrastu pro laditelný mikroskopický slider LUMICRA [1].
Slidery využívají pokročilé techniky šikmého osvětlení k dosažení reliéfního kontrastu – osvětlení ze zdroje světla mikroskopu je pro tento účel upraveno tak, že vzorek je osvětlován z jednoho nebo více směrů pod určitým úhlem k optické ose mikroskopu. Zmíněná technika reliéfního kontrastu dosahuje velmi podobných výsledků jako pokročilé techniky kontrastní světelné mikroskopie, jako je Nomarského DIC a Hoffmanův kontrast. V porovnání s DIC je to cenově výhodné řešení, pohodlnější a široce využitelné – vhodné pro vědecké, studentské i rutinní mikroskopy. Laditelné slidery umožňují pohodlně a rychle nastavit kontrast reliéfu na libovolný objektiv a zároveň upravit míru zesílení kontrastu.
Snadné a účinné!
Laditelná slidery disponují režimem reliéfního kontrastu a nově chystaná verze bude určena pro kombinaci pozorování v temném poli. Slider tak umožňují pozorovat mnoho mikroskopických vzorků při malém zvětšení ve třech režimech procházejícího světla - světlé pole, reliéfní kontrast a směrové tmavé pole. K těmto režimům můžete přistupovat po jednom otáčením knoflíku.
Naše řešení pro specifické osvětlení vzorku odhalit struktury, které jsou jinak obtížně viditelné kvůli rozdílům v indexu lomu, absorpci nebo rozptylu.
Reference:
[1] MicroSolutions, L. 3D a high contrast imaging.
Obr. 2. – Laditelný slider pro vzpřímené mikroskopy Leica řady DM.
Galerie obrázků - 3D zobrazování s reliéfním kontrastem
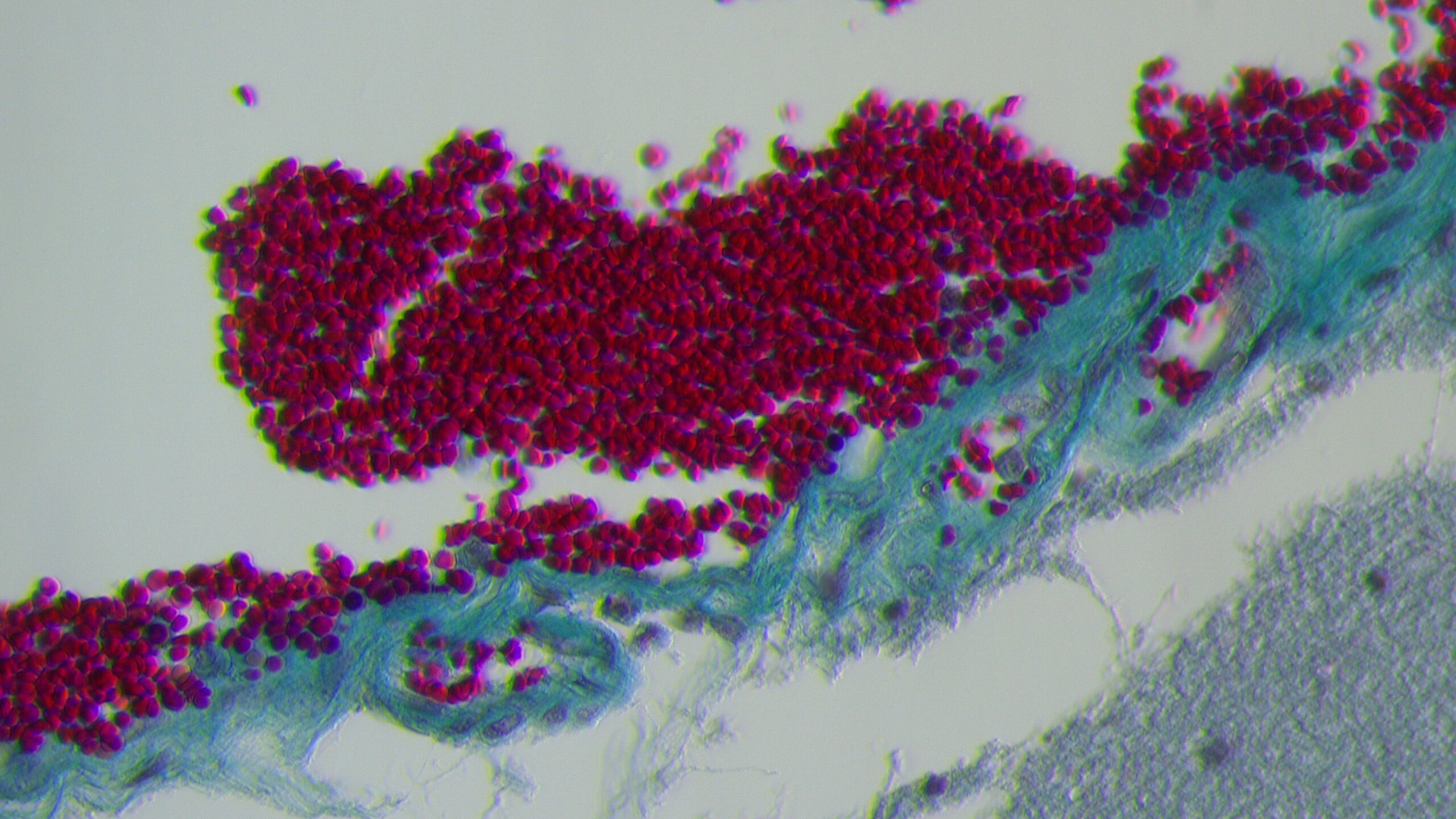
Galerie ukazuje výsledky získané pomocí laditelných sliderů. Pro snímky byly použity různé připravené preparáty (s barvením nebo bez barvení). Tato testovací sklíčka se vzorky jsou určena především pro fázový kontrast, DIC a polarizační mikroskopii. Snímky byly pořízeny pomocí mikroskopu DM750 vybaveného kamerami Leica ICC50 nebo FLEXACAM C1.


Obr. 3. – Podívejte se, jak vám reliéfní kontrast pomůže zvýraznit detaily vašich vzorků.
Hlavní funkce
Zde je seznam hlavních funkcí tohoto produktu:
- Efektní 3D vzhled snímků nebarvených vzorků
- Pro různorodé vzorky, jako jsou tkáňové preparáty, bakterie, jednotlivé neadherentní buňky, prvoci, spermie, vlákna, diatomy, vodní organismy a další.
- Více variant pozorování: 3 režimy pozorování, snadné použití, nákladově efektivní
Kontaktujte nás
Pokud máte zájem o další informace nebo o zakoupení Relief Contrast Sliders, inzertů a sliderů nebo specifických řešení na míru pro jiné mikroskopy, například Olympus, Nikon nebo Zeiss, kontaktujte nás. Rádi pro vás najdeme řešení.
Podrobnosti o produktu
Obj. číslo produktu: T220001
Název: Lumicra Tunable Slider (1 ks)
Popis: Vhodný pro mikroskopy Leica D500, D750.
Obj. číslo produktu: T220005
Název: Lumicra ZEISS plus adapter (1 pc)
Popis: Laditelný slider pro mikroskopy ZEISS.
Obj. číslo produktu: T220009
Název: Lumicra NIKON plus adapter (1 pc)
Popis: Laditelný slider pro mikroskopy NIKON..
Galerie
Podívejme se na zajímavé obrázky z mikroskopie
Máte zájem o takové řešení?
Hledáte řešení na míru pro své specifické potřeby? Náš tým odborníků je zde, aby vám poskytl řešení, které bude dokonale vyhovovat vašim potřebám.
Kontaktujte nás ještě dnes, abychom s vámi prodiskutovali váš projekt a zjistili, jak mohou naše řešení na míru maximalizovat váš potenciál k úspěchu.


